近日,我院心血管内科闫兴国介入团队,在院长陆远教授的指导下,通过冠状动脉血管内超声(IVUS)的精准“导航”,成功为一名冠状动脉严重环状钙化患者实施高频旋磨手术并顺利植入支架。
接受手术的患者因“反复胸闷、胸痛”入院,冠脉造影检查提示,患者其前降支近段存在重度狭窄,并伴有严重的环形钙化,就像年久失修的水管里长满坚硬水垢,形成了“石头隧道”。对于这种严重钙化病变,单纯使用球囊难以充分扩张血管,还可能增加血管撕裂、夹层等并发症风险,对手术带来较大挑战。
面对这一棘手难题,心血管内科介入团队经过缜密评估,决定采用冠状动脉旋磨术为患者打通血管。为精准评估病变情况,介入团队首先采用血管内超声(IVUS)检查。IVUS能够清晰显示患者血管内的钙化呈360°环形、范围广泛,最小管腔面积仅为2.01mm²。通过细致评估,团队精确测量了血管直径、钙化厚度及管腔面积,为后续治疗策略的制定提供了重要依据。
在IVUS的精确引导下,团队实施冠状动脉钙化病变旋磨术。术者将一颗直径仅1.5mm、镶嵌有钻石颗粒的旋磨头送至病变处,以15–20万转/分钟的速度高速旋转。这枚微小的旋磨头如同精准的“血管盾构机”,将血管壁上坚硬的钙化斑块磨成极微小颗粒。经过数次旋磨后,堵塞的管腔被成功开通。
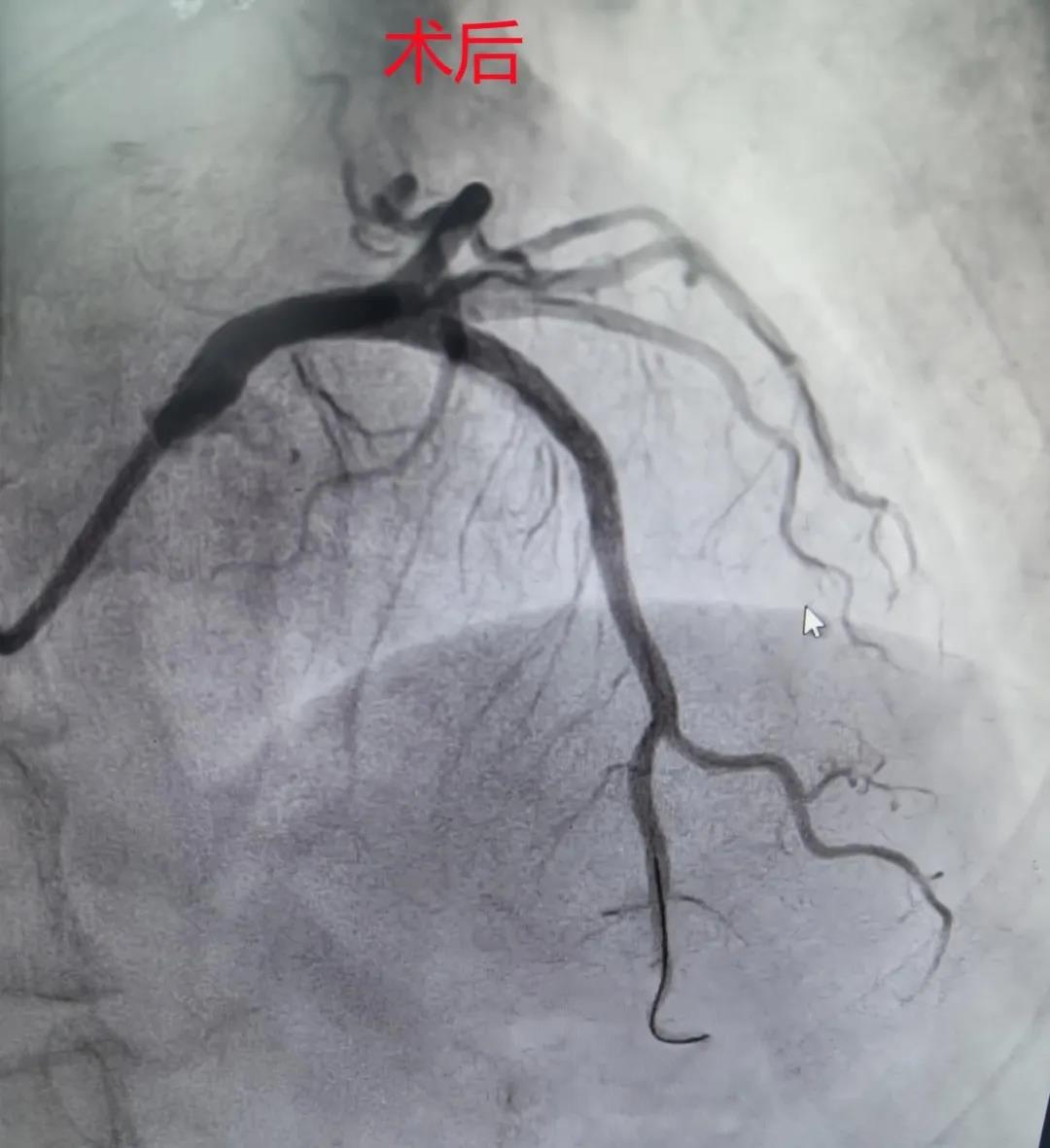
旋磨成功后,再次通过IVUS复查评估,确认钙化环被有效打磨、断裂,随后顺利在病变处植入药物洗脱支架一枚,术后再次IVUS评估显示,支架贴壁良好、膨胀完全,管腔面积达到理想标准(最小管腔面积达8.52mm²),最终造影显示,前降支血流恢复通畅(TIMI 3级)。
此次手术的成功,体现了我院心血管内科介入团队在精准介入诊疗方面的专业能力,标志着我院在复杂、高危、疑难冠脉介入治疗领域取得了新的突破。

